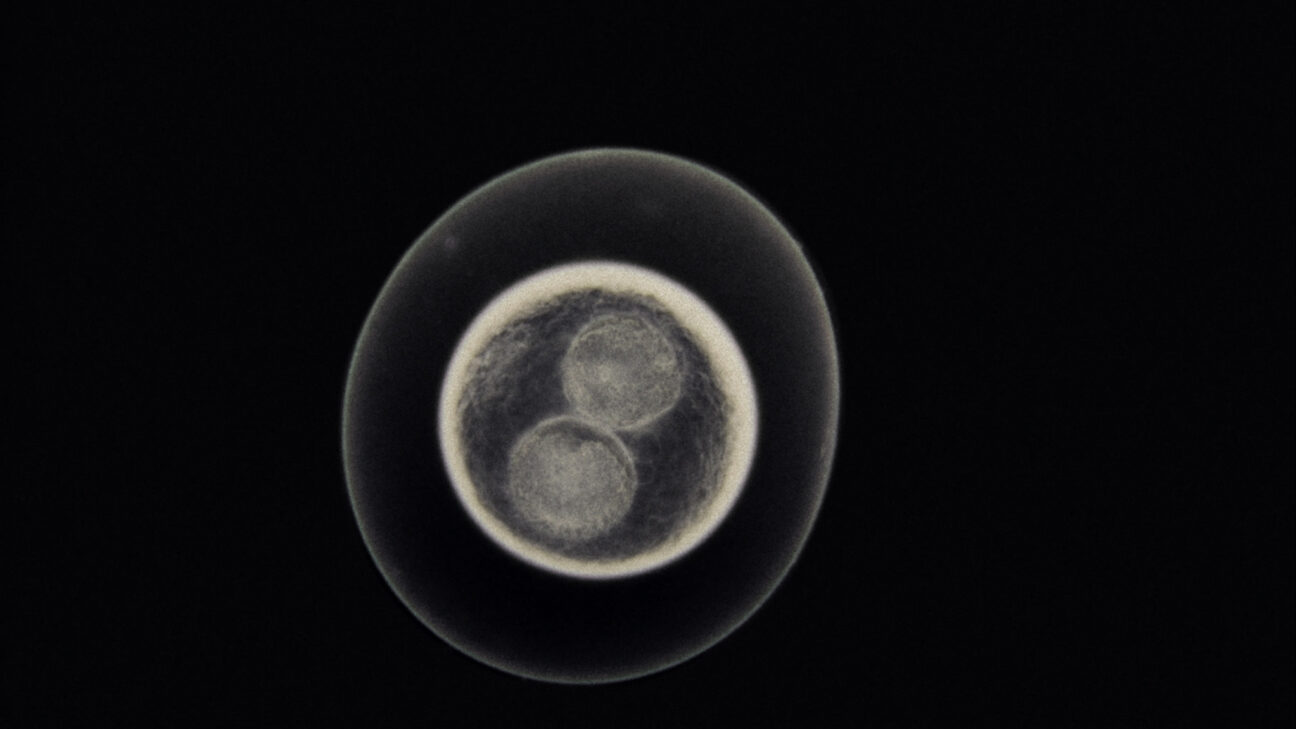
La era de las plantas con flor
The Age of Flowering Plants
Direct naar zijbalk
Valeria works in a nocturnal flower shop where the plants emit eroticism. In her circle of friends, some humans have long, pointed ears, others have wings. Filmmaker Magaly Ugarte de Pablo tells a supernatural tale with roots in the Mexican fantasy tradition and a futuristic gender perspective. A gothic universe of self-discoveries, sexual awakenings and human beings in metamorphosis.
– Miquel Martí Freixas
Ook in dit verzamelprogramma
-
The Non-Actor
Following sudden, unexplained hearing loss, Elliot reconfigures her relationship with her (sonic) environment and herself. -
Faustyna
Faustyna sets off on a journey of healing and self-discovery through sex work and psychodrama. -
Puro andar
An evocative experimental exploration that slips through the guts of humans and the Earth.
Trailer
Ingesloten inhoud van YouTube overslaan
Deze inhoud is beschikbaar na het accepteren van de marketingcookies.
Ingesloten inhoud van YouTube overgeslagen.
Film details
- Productieland
- Mexico
- Jaar
- 2025
- Festivaleditie
- IFFR 2025
- Lengte
- 18'
- Medium/Formaat
- DCP
- Taal
- Spanish
- Première status
- World premiere
- Director
- Magaly Ugarte de Pablo
- Producer
- Sebastian Castillo, Magaly Ugarte de Pablo
- Sales / World rights holder
- Magaly Ugarte de Pablo
- Screenplay
- Magaly Ugarte de Pablo
- Cinematography
- Flavia Martinez
- Editing
- Liora Spilk Bialostosky
- Production design
- Sebastián Narbona
- Sound design
- María Alejandra Rojas
- Music
- Concepción Huerta
- Principal cast
- Miranda Owen, Dalzell Román, Santiago Colores
- Production company
- Madrefoca, Génesis